sequence是什么意思(肺部ct检查中的“几类几类”)
像32岁张先生这样的肺部CT体检报告,大家肯定不会陌生
虽然我们医生反复强调肺结节大部分都是良性的,
但是对于普通老百姓来说,面对报告单中(119/
像32岁张先生这样的肺部CT体检报告,大家肯定不会陌生

虽然我们医生反复强调肺结节大部分都是良性的, 但是对于普通老百姓来说,面对报告单中(119/257img)、(105/257img)等这些这么大数字,怎么都会看着有点慌 ,因为人类面对未知就会有天生恐惧。
那么CT报告单上的(119/257img)、(105/257img)到底是什么意思?如果两次拍片,查出来数字不一样,是不是说明结节有问题?
不是的,对于老百姓来说,确实很容易把检查数字跟大小联系起来,但实际上这跟大小没有任何关系。
img属于影像学的“ 定位 ”术语,说白了,就像“坐标”,指的是位置,在哪里。
而img是image,英文单词,的缩写,意思是“图像”,而这个检查报告中(119/257img)、(105/257img)其实指的是 第257张 图像。
那前面的119、105是什么意思?
实际上,这是做了一个简写,有些医院会这样,而有些医院不会,他们会写的更清楚,写成比如下面(SE/IM:2/245)

而 SE同样是影像学定位术语,SE是sequence(序列)的意思 。也就是说这个检查报告中(119/257img)、(105/257img),其实说的是2个结节位置。
左肺(119/257img)的结节位于位于扫描的第119个序列的第245张图像上;
右肺(105/257img)的结节位于位于扫描的第105个序列的第245张图像上;
为什么要这么标注?
这主要是因为拍CT就跟我们切洋葱一样,是一层一层切的拍的,一个人拍个肺部CT,往往会有成百上千张图像。

在这么大量的图像里面,假如我们不标注位置,那医生要找到那几个毫米大小的结节是非常困难的,因此,主要是便于我们医生在众多的CT图像上找到这个结节。

所以,假如你拍了很多次肺部CT,发现有几次检查这几个数字有变化,不一样, 这并不是说你的结节大小发生了变化,而是在其他位置多了几个结节!
而直径0.5cm,往往指的才是结节大小,而要比较有没有变化,你要对比的是同一个位置的结节,而不是看到直径大小有变化,就说明比之前大了或者小了!
当然,对于肺结节来说,除了看直径大小变化,我们更应该看其“ LU–RADS ”分级变化
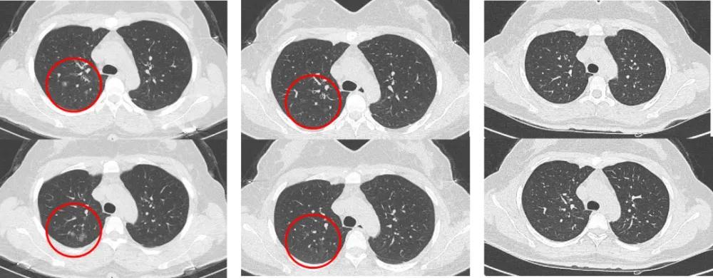
如下图这个检查报告单

目前还是主要采用这个加拿大2014版的肺结节分级报告系统(LU–RADS)
这个系统把我们拍片发现的肺结节一共分为6类,
1类报告为阴性,未看到有结节;
提示2类,基本上为良性结节,这种结节基本上不会有直径大小变化,发展为临床侵袭性肺癌的可能性低。建议12个月内继续年度低剂量胸部CT筛查。
报告为3类,短时间内基本为良性结节,但是有1–2%的恶性概率,建议是6个月内低剂量胸部CT筛查。
一旦提示您有4类以上肺结节,那就要高度重视了因为4类为可疑恶性。
其中4A类,恶性概率提高到了5~15%;男的建议3个月低剂量胸部CT筛查;假如存在这个结节还提示存在≥8mm的实性成分时,那需要需PET/CT检查。
报告4B类恶性概率更高,大于15%;需要进行CT增强或平扫选择性进行PET/CT和/或组织活检;
而假如是4C类,则说明这个结节,还具有增加恶性倾向的特征,处理原则同4B类。
一旦到达肺结节5类,那说明这个CT检查是强烈提示为恶性结节;6类是组织学上已证实其为恶性!
所以,对于CT报告中提到的几类几类,那确实是如大家平时的直觉,数字类别越大,恶性可能性是逐渐增大的。
那 假如我们出现CT检查提示多个肺结节 ,那我们就一定要以恶性程度最高的那个结节来作为参考,对结节进行处理,而不是我大部分结节都是良性的,就只有一个恶性程度高,不管它!

那随访拍片,拍了3次,发现同一个肺结节,结果大小有4.4mm、4.7mm、5.1mm,这样的变化,怕吗?
大家可能不知道,实际上关于肺结节的发现,主要是依靠我们AI来发现的,而具体大小是由我们拍片的医生拿鼠标进行测量的,不同医生或者同一个医生测量那么小的一个结节, 可能鼠标动一下,这个差0.几的误差就出来了 ,像结果大小有4.4mm、4.7mm、5.1mm的变化,几乎可以说是没啥变化的,无意义的误差。
所以,不是数字大小有变化,那就说明结节在变化,结节风险再提高。
#好医生为健康护航#